Cuidamos tu sonrisa con
honestidad y excelencia.
Muñoz Soto Dental
Tu clínica dental de confianza en Granada
Llevamos más de 30 años trabajando cada día para ofrecer la máxima calidad en cada tratamiento. Esta trayectoria nos ha consolidado como una clínica dental de referencia en Granada, especialmente en la zona de Armilla. Nuestro mayor compromiso es que te sientas cómodo en cada visita, con un trato cercano y una atención cuidada. Porque cuando tú sonríes con tranquilidad, nosotros sonreímos contigo.
Quienes somos
Un equipo de dentistas en Granada, siempre a tu lado
En Clínica Muñoz Soto, bajo la dirección de la Dra. Esther Muñoz Soto, trabajamos cada día con un objetivo claro: ofrecer a nuestros pacientes la máxima calidad en tratamientos odontológicos.
Nuestra filosofía se fundamenta en la excelencia clínica, la atención personalizada y el uso de tecnología de vanguardia, garantizando resultados naturales, duraderos y seguros.
Disponemos de un equipo altamente cualificado en implantología, ortodoncia, estética dental, endodoncia y periodoncia, que pone la salud y la sonrisa de cada paciente en el centro de todo lo que hacemos.
Si buscas una clínica dental en Granada que combine experiencia, innovación y cercanía, en Armilla encontrarás un espacio moderno diseñado para tu bienestar, donde tu sonrisa estará siempre en las mejores manos.
¿Por qué elegirnos como tus dentistas en Granada?
Convertimos tu visita en una experiencia positiva

Tecnología de vanguardia
En nuestra clínica dental en Granada trabajamos con maquinaria de máxima precisión e instrumental de última tecnología. Además, realizamos diagnósticos digitales avanzados que nos permiten planificar cada tratamiento con exactitud y seguridad, ofreciendo así resultados fiables y de la más alta calidad.

Profesionales cualificados
Nuestros dentistas están altamente cualificados y especializados en todas las ramas de la odontología, lo que nos permite ofrecer un tratamiento integral y totalmente personalizado. Además, nuestro equipo se forma de manera constante en las últimas técnicas odontológicas, garantizando tratamientos innovadores, seguros y de la más alta calidad.

Más de 30 años de experiencia
Ofrecemos una atención totalmente personalizada, adaptando cada tratamiento a las necesidades y objetivos de cada paciente. Nos tomamos el tiempo de escucharte, resolver todas tus dudas y diseñar un plan a tu medida, para que disfrutes de una experiencia cómoda y con la tranquilidad de estar en las mejores manos.
Tu sonrisa en manos de la élite dental
Formamos parte de BQDC (Best Quality Dental Centers), una red exclusiva de clínicas dentales en España y Portugal reconocida por su excelencia y altos estándares de calidad.
Este sello nos avala como un equipo de dentistas en Granada comprometidos con ofrecer tratamientos de la más alta precisión, innovación tecnológica y la atención cercana que nuestros pacientes merecen.
Pertenecer a BQDC nos distingue y garantiza a quienes confían en nosotros prestigio, confianza y excelencia internacional en cada tratamiento.
Nuestros
Tratamientos
Somos una clínica dental en Granada con un enfoque multidisciplinar, preparada para abordar todo tipo de tratamientos odontológicos. Nuestra formación continua y la apuesta por la última tecnología nos permiten ofrecer a nuestros pacientes procedimientos modernos, eficaces y de máxima calidad.
Ortodoncía
La correcta alineación dental no solo mejora la estética de tu sonrisa, también facilita la masticación y la higiene bucal. En Muñoz Soto Dental contamos con especialistas en ortodoncia que aplican técnicas avanzadas para lograr resultados duraderos y saludables.
Ortodoncía invisible
Corrige la posición de tus dientes de forma discreta y eficaz con Invisalign®, el sistema líder mundial en alineadores transparentes. Nuestros especialistas certificados diseñan un plan a medida con tecnología digital 3D, asegurando comodidad, precisión y resultados predecibles sin alterar tu día a día.
Blanqueamiento Dental
Consigue una sonrisa más blanca y brillante gracias a nuestro tratamiento de blanqueamiento dental profesional. Nuestros especialistas emplean técnicas avanzadas y productos de última generación que aclaran varios tonos el color natural de tus dientes, garantizando resultados seguros, estéticos y duraderos.
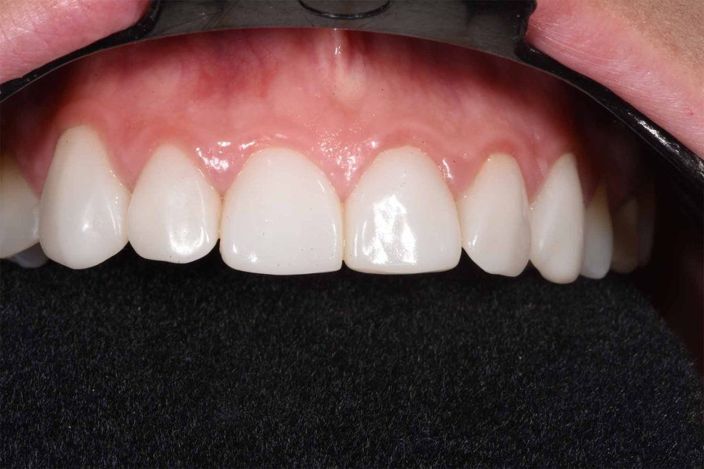
Carillas
Consigue una sonrisa uniforme y brillante en Muñoz Soto Dental, clínica dental en Granada especializada en carillas dentales. Corrige color, forma y tamaño de tus dientes con la máxima precisión.
Implantes dentales
Reemplaza las piezas dentales perdidas con implantes de máxima calidad. Nuestros especialistas en implantología utilizan tecnología avanzada para devolverte la función y estética de tu sonrisa con seguridad y precisión.
Odontología General
Cuidamos de tu salud bucodental desde la prevención. Contamos con profesionales formados en odontología general que realizan revisiones, limpiezas y tratamientos básicos con un enfoque integral y moderno.
Periodoncia
La salud de tus encías es fundamental para mantener tus dientes en buen estado. Nuestros especialistas en periodoncia emplean técnicas actualizadas para prevenir y tratar enfermedades periodontales, protegiendo tu bienestar general.
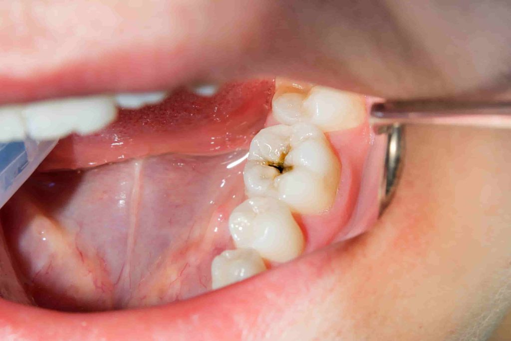
Endodoncia
Conservamos tus piezas dentales dañadas gracias a tratamientos de endodoncia precisos y mínimamente invasivos. Nuestros expertos utilizan equipamiento de última tecnología para eliminar la infección y mantener tu sonrisa sana.
Testimonios
Testimonios de Muñoz Soto Dental la clínica dental en Granada
Creemos que la mejor carta de presentación son las experiencias de nuestros pacientes. Cada sonrisa transformada refleja el compromiso de nuestros especialistas, la confianza depositada en nosotros y los resultados obtenidos gracias a la última tecnología. Descubre lo que dicen quienes ya han confiado en nuestro equipo.
Publicado en rosa martinTrustindex verifica que la fuente original de la reseña sea Google. si tienes cualquier problema no dudes en acudir aquí ! te dan soluciones al momento con una cercanía que es lo que más caracteriza a este sitio! gracias por ser tan maravillosasPublicado en Ana GarcíaTrustindex verifica que la fuente original de la reseña sea Google. Tras 20 años de paciente de la doctora Esther Muñoz Soto solo tengo que dar las gracias al equipo tan maravilloso que formáis todos en la clínica. Son auténticos profesionales con un trato excelente y siempre con los mejores avances tecnológicos y los mejores tratamientos . Asesoramiento excelente. Totalmente recomendable .Publicado en Capilla Fernández Miguel ÁngelTrustindex verifica que la fuente original de la reseña sea Google. Espectacular clínica, muy buenos resultados , y muy buena atención , la recomiendo 100% las mejores manos para sanear tu boca.Publicado en Carmen SotoTrustindex verifica que la fuente original de la reseña sea Google. Magnífico trato desde que entras por la puerta en la recepción, como todos y cada una de las profesionales que me han atendido. Recomiendo 100%Publicado en Juan CastilloTrustindex verifica que la fuente original de la reseña sea Google. Hoy tocaba limpieza y solo tengo palabras de agradecimiento para María José. Toda una profesional. Un 10 para todo el equipo.Publicado en E.Maria S.CTrustindex verifica que la fuente original de la reseña sea Google. Grandísimas profesionales, después de recorrer infinidad de clínicas es la única que me resolvió el problema, con una maestría increíble y eso que era bastante grave. Son las mejores sin duda y ponerme en sus manos ha sido lo mejor que he hecho. La recomiendo 100%.Publicado en Elisa Perez LopezTrustindex verifica que la fuente original de la reseña sea Google. Es la mejor Clinica que conozco, desde el primer dia el trato es muy familiar y yo que tengo panico al dentista tienen un tacto y una dulzura que ya vienes tranquilo y sabes que no duele. Con los niños es increible la forma de recogerlos entre medio juego se los llevan y sin dolor alguno, de esa manera volvemos todos.Publicado en JOSE LUIS MONTILLA PEREZTrustindex verifica que la fuente original de la reseña sea Google. Todo perfectoPublicado en makiTrustindex verifica que la fuente original de la reseña sea Google. Muy contenta con el invisilign y el post del tratamiento genial... Muy eficientes y profesionales
No importa dónde vivas
En nuestra clínica dental en Granada tratamos a pacientes que residen fuera de la ciudad, en otras provincias e incluso en el extranjero. Coordinamos tu tratamiento de forma personalizada para que recibas la mejor atención, sin importar dónde vivas.
El blog de la clínica dental en Granada Muñoz Soto Dental
Blog
Somos tu clínica dental en Granada de confianza
Contáctanos


